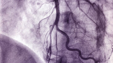
Eine Herzkatheteruntersuchung zählt zu den Routineeingriffen in der Kardiologie. Sie ermöglicht es, Durchblutungsstörungen, Herzklappenfehler oder...
Schlagwort – Gesundheit
Mit rund 460.000 Erkrankungen im Jahr zählt die Herzinsuffizienz, auch Herzschwäche genannt, zu den häufigsten Erkrankungen unseres schlagenden...
Epilepsie beschreibt eine neurologische Erkrankung, bei der in unterschiedlichen Abständen epileptische Anfälle auftreten. Obwohl die Störung immer...
Ob beim Tragen schwerer Einkaufstaschen, beim Bücken nach dem heruntergefallenen Schlüssel oder beim aufrechten Sitzen am Schreibtisch: Unsere...
Nach einem Schädel-Hirn-Trauma, Schlaganfall oder einer Operation am Gehirn ist nichts mehr wie vorher. Moderne neurologische Reha-Maßnahmen können...
Neurochirurgische Eingriffe sind heute dank robotischer Assistenzsysteme, intraoperativer Bildgebung und Echtzeit-Navigation so präzise wie nie zuvor...
Wenn die letzten warmen Spätsommertage vorüber sind, werden die Tage spürbar kürzer und kälter. Für viele Menschen lösen das nasskalte...
Ernährung spielt in allen Lebensbereichen eine wichtige Rolle. Aber gerade bei einer Venenschwäche kann ein gesunder und ausgewogener Ernährungsstil...
Das Schlimmste, was sich Eltern vorstellen können, ist wohl, dass dem eigenen Nachwuchs etwas passiert. Manchmal jedoch ist ein Aufenthalt im...
Immer mehr Menschen in Deutschland leben mit der Diagnose Diabetes. Auch die Anzahl der betroffenen Kinder und Jugendlichen wächst stetig: Mehr als...









