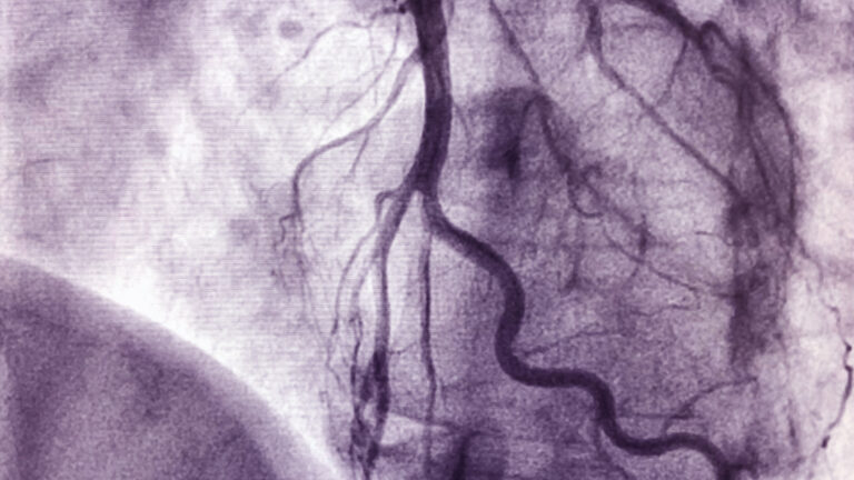
Eine Herzkatheteruntersuchung zählt zu den Routineeingriffen in der Kardiologie. Sie ermöglicht es, Durchblutungsstörungen, Herzklappenfehler oder Druckverhältnisse im Herzen präzise zu erkennen. Im Herzkatheterlabor (HKL) der Uniklinik RWTH Aachen führen die Expertinnen und Experten jährlich rund 3.000 dieser Untersuchungen durch. Mithilfe eines dünnen Kunststoffschlauchs, der vorsichtig bis zum Herzen vorgeschoben wird, überprüfen sie die Funktion und den Blutfluss des schlagenden Organs.
Der Eingriff beginnt mit einem kleinen Hautschnitt am Handgelenk oder in der Leistengegend. Über diesen Zugang schiebt das Team um Prof. Dr. med. Ertunc Altiok, Geschäftsführender Oberarzt der Klinik für Kardiologie, Angiologie und Internistische Intensivmedizin (Med. Klinik I) an der Uniklinik RWTH Aachen den Katheter in ein Blutgefäß ein und unter Röntgenkontrolle bis zum Herzen vor. Das Behandlungsteam der Sektion I Strukturelle Herzerkrankung und Interventionelle Kardiologie überwacht dabei kontinuierlich die Lage des Katheters. Über den Schlauch verabreichen sie ein Kontrastmittel, das die Gefäße und Herzkammern auf einem Bildschirm sichtbar macht und eine präzise Navigation ermöglicht.
Linke oder rechte Kammer
Je nach medizinischer Fragestellung kommt entweder ein Linksherz- oder ein Rechtsherzkatheter zum Einsatz. Der häufiger verwendete Linksherzkatheter über die Arterien erlaubt die Untersuchung der linken Kammer, die das sauerstoffreiche Blut über die Aorta in den Körper pumpt. Dabei lassen sich anhand der Kranzgefäße eine beginnende koronare Herzerkrankung oder ein Infarkt diagnostizieren. Der Rechtsherzkatheter wird hingegen über die Venen eingeführt und dient der Analyse der rechten Herzkammer sowie der Lungenschlagader. Hierbei können die Herzexpertinnen und -experten Druckmessungen der Lungenarterie vornehmen und die Sauerstoffsättigung des Blutes überprüfen.
Behandlung direkt vor Ort
„Wenn wir bei der Untersuchung der Herzkranzgefäße eine Engstelle feststellen, etwa nach einem Infarkt, können wir diese häufig im selben Eingriff behandeln“, erklärt Prof. Altiok.
Im HKL schiebt das Team dazu einen Ballonkatheter über einen Führungsdraht bis zur betroffenen Stelle in den Gefäßen. Bei dieser sogenannten Ballondilatation erweitert der Ballon kurzzeitig die Engstelle durch Aufblasen. „Um das Ergebnis zu sichern und ein erneutes Zusammenziehen des Gefäßes zu verhindern, setzen wir einen Stent ein“, führt der Kardiologe aus und beschreibt weiterhin: „Es handelt sich dabei um ein kleines, röhrenförmiges Metallgitter, das in der aufgeweiteten Stelle des Gefäßes verbleibt und die Gefäßwand dauerhaft stützt. Der Stent wächst in den Wochen nach dem Eingriff in die Gefäßwand ein und sorgt dafür, dass die Blutbahn im Herzen des Patienten oder der Patientin geöffnet bleibt.“
Routineeingriff mit überschaubarem Risiko
Trotz der hohen technischen Präzision und der Möglichkeit, therapeutisch direkt einzugreifen, bleibt die Herzkatheteruntersuchung ein Routineverfahren, das im HKL der Uniklinik RWTH Aachen täglich durchgeführt wird. Das Risiko für Komplikationen liegt bei etwa zwei bis vier Prozent. Prof. Altiok verdeutlicht dazu: „Die höhere Rate betrifft vor allem Patientinnen und Patienten mit einem akuten Herzinfarkt oder anderen schweren Herzerkrankungen, bei denen das Herz besonders belastet ist.“
Stent oder Bypass

Bei der Behandlung von koronaren Herzerkrankungen stehen zwei zentrale Verfahren zur Verfügung: der Stent-Einsatz und die Bypass-Operation. Beide verfolgen das Ziel, die Durchblutung des Herzmuskels zu verbessern, unterscheiden sich jedoch grundlegend in ihrer Durchführung. Der Stent wird mithilfe eines Herzkatheters durch einen kleinen Schnitt am Handgelenk oder in der Leiste eingesetzt. Das winzige Metallgitter findet an der Engstelle seinen Platz und hält das Gefäß offen.
Im Gegensatz dazu ist die Bypass-Operation ein offener chirurgischer Eingriff. Hierbei wird der Brustkorb eröffnet, um verengte oder verschlossene Herzkranzgefäße zu überbrücken. Bypässe bestehen meist aus körpereigenen Venen oder Arterien, etwa aus dem Bein oder der Brustwand, und funktionieren wie eine Art Umgehungsstraße für das Blut. Die Operation kommt insbesondere dann zum Einsatz, wenn mehrere Gefäße betroffen sind oder eine Behandlung mittels Stents nicht ausreicht, wie etwa bei fortgeschrittener koronarer Herzkrankheit, Dreigefäßerkrankung oder diabetischen Patientinnen und Patienten.
An der Uniklinik RWTH Aachen kümmert sich das interdisziplinäre Herzteam um die Bypass-Chirurgie. Die enge Zusammenarbeit zwischen der Klinik für Kardiologie, Angiologie und Internistische Intensivmedizin (Med. Klinik I) und der Klinik für Herzchirurgie ermöglicht eine individuelle und interdisziplinäre Behandlung der Patientinnen und Patienten.
Herzkatheterlabor
Uniklinik RWTH Aachen
Pauwelsstraße 30
52074 Aachen
Zentrales Sekretariat
Tel.: 0241 80-89572
herzkatheter@ukaachen.de
Mo und Di: 07:30 – 16:00 Uhr
Mi, Do, Fr: 07:30 – 15:30 Uhr
24-Stunden-Herzkatheterbereitschaft
Tel.: 0241 80-37000








